Philips DigitalDiagnost C901 premium DR room is designed to meet the diagnostic imaging needs of the most demanding institutions.It allows you to comfortably see more patients per day, and shorten patient wait time, by decreasing the time to diagnosis with innovative tools that help drive workflow efficiency.DigitalDiagnost C90’s live tube head camera, versatile room configurations, and exam automation technologies all help assure outstanding patient throughput.
Philips DigitalDiagnost C90¹ premium DR room is designed to meet the diagnostic imaging needs of the most demanding institutions. It allows you to comfortably see more patients per day, and shorten patient wait time, by decreasing the time to diagnosis with innovative tools that help drive workflow efficiency. DigitalDiagnost C90’s live tube head camera, versatile room configurations, and exam automation technologies all help to allow outstanding patient throughput.
Want to hear more? Watch the video and experience it through a customer story from Trondheim, Norway.

Philips UNIQUE 2 improves image quality with more homogeneous black backgrounds, reduced noise and automatic enhancement of small details
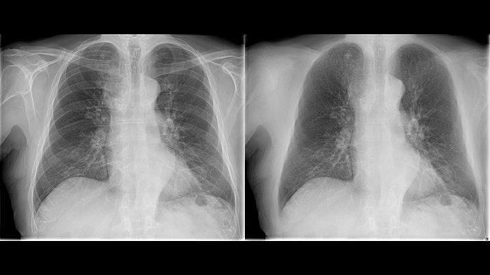
Philips Bone Suppression3 helps remove bone structures from chest images for an unobstructed view of soft tissue and can improve actionable nodule detection by up to 16.8% without the need to expose the patient to additional X-ray dose.4

New features make the job of teaching and training students, new, or junior radiographers easier. The new Live Camera helps avoid extra time for explanations in teaching situations by allowing for supervision from behind the control panel, which facilitates demonstration of centerpoints and radiographic positioning without needing to stand over the patient.

Eleva user interface
The Eleva user interface provides all the tools and controls necessary for seamless procedures. This one common platform is easy to learn and use, and is highly suitable for streamlining your radiography department. It is the same harmonized user interface found across our radiography portfolio.

SkyFlow Plus image processing
When doing DR exams without a grid, Philips SkyFlow Plus produces images with grid-like contrast. It reduces the effect of scattered radiation for non-grid bedside chest exams. SkyFlow Plus is the industry’s first scatter correction algorithm for portable X-rays. It delivers contrast enhancement based on the amount of scatter for the individual patient.

The DigitalDiganost C90 Tube Head was awarded with the iF Award 2019 in two categories: iF Product Design and iFService Design/UX. Additionally, the system is a reddot Award winner for 2019. The state-of-the-art design with the DigitalDiagnost C90 Tube Head set a new standard in radiography.


Experience how the Philips DigitalDiagnost C90 digital X-ray system can accelerate exam performance in the radiology department. It is designed to increase patient throughput and decrease time to diagnosis. It offers healthcare organizations a flexible and customizable imaging solution that helps to improve workflow and clinical outcomes, while adding economic value.

See how quickly and efficiently the stepping-up transition to DigitalDiagnost C90 took place at Reinier de Graaf hospital in Delft, the Netherlands.

The pressure on the Radiology department is increasing. Listen to our customer explaining how the new Eleva Tube Head with live camera and monitor can improve workflow to benefit staff and patients and tell more on clinical outcomes and image quality.

By re-using parts, recycling and refurbishing, Philips is able to meet goals of sustainability and further a global circular economy. So the transition to the new system at Reinier de Graaf hospital in Delft, the Netherlands, was efficient by re-using the existing Philips' DigitalDiagnost platform and infrastructure. Listen to the customer voice!
Hear from the patients, staff and leaders at Physician's Clinic of Iowa about the positive improvements they have experienced with Philips DigitalDiagnost C90.


Listen to leaders from the St. Olavs hospital in Trondheim/Norway explaining how the Philips DigitalDiagnostC90 can improve the clinical workflow to benefit staff and patients.
Hear more on the Strategic Partnership between the Radiology Department of UKSH in Lubeck/Germany with Philips Healthcare. Radiology leaders from the clinic give an overview of the benefits for the hospital clinically, for patients and staff as well as from a cost perspective.

References 1 Philips DigitalDiagnost C90 is not available for sale in greater China 4 Riverain: Freedman et al Radiology July 2011
2 Based on 4 images on average per examination validated by clinicians in a Philips’ development environment.
3 Riverain Technologies’ ClearRead Bone Suppression
You are about to visit a Philips global content page
ContinueWebová stránka je určena pouze osobám, které jsou odborníky (tj. osobám oprávněným zdravotnické prostředky předepisovat nebo vydávat), nebo zaměstnancům poskytovatele zdravotních služeb.
Jste osobou, která splňuje výše uvedená kritéria? Potvrzujete, že jste seznámeni s rizikem, že pokud budete pokračovat na tyto stránky, aniž jste osobou, která splňuje výše uvedená kritéria, hrozí, že informace tam obsažené budete nevhodně interpretovat a dojdete k mylným závěrům?