Every day, cardiology departments face the challenge of achieving greater predictability and efficiency, particularly in cardiac interventional procedures. The latest release of the Philips EPIQ CVx cardiovascular ultrasound system is designed to support you at every step from diagnosis to treatment – helping you and your clinical teams to deliver accurate, reproducible diagnosis with confidence.
How can we make understanding mitral valve disease easier?
Philips Cardiac TrueVue on EPIQ CVx.
Assessing the left atrial appendage quickly, easily, intuitively.
The Philips LAA solution on EPIQ CVx.

View enhanced visualizations of structures and flow with TrueVue Color

Visualize cardiac morphology using ultrasound with TrueVue Glass

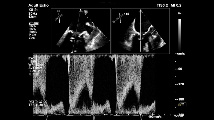
Gain confidence of correct gate placement when assessing cardiac flow with xPlane Doppler

Rapidly acquire LAA orifice measurements in both traditional rendering or in TrueVue Glass rendering, with 3D Auto LAA

Philips’ extensive expertise in image recognition and segmentation is complemented by the proven, robust quantification capabilities of TOMTEC. The result is a solution that is even greater than the sum of its parts – strengthening your diagnostic confidence and treatment planning, helping you optimize your workflows and elevating your cardiology performance to the next level.
The Philips EPIQ CVx cardiovascular ultrasound system combines the unique strengths of Philips and TOMTEC to create a fully integrated experience from image acquisition to advanced quantification for every echo exam.
The latest release of EPIQ CVx integrates numerous signifificant automated quantification features including 3D Auto MV, 3D Auto RV, and the AutoStrain suite of tools for robust and reproducible measurements, that can be confidently used while treating a patient before, during and following any treatment plan.

Philips Ultrasound is now FDA cleared for management of COVID-19 lung and cardiac complications. We're dedicated to providing education, resources and technology needed to battle this virus.

Now is the time to upgrade your echo performance. Philips CVx ultrasound systems for echo feature our most advanced solutions to provide you with efficiencies and quality that are more essential than ever.
EPIQ CVx/CVxi is available in selected countries. Please consult your Philips representative for further details.
You are about to visit a Philips global content page
ContinueWebová stránka je určena pouze osobám, které jsou odborníky (tj. osobám oprávněným zdravotnické prostředky předepisovat nebo vydávat), nebo zaměstnancům poskytovatele zdravotních služeb.
Jste osobou, která splňuje výše uvedená kritéria? Potvrzujete, že jste seznámeni s rizikem, že pokud budete pokračovat na tyto stránky, aniž jste osobou, která splňuje výše uvedená kritéria, hrozí, že informace tam obsažené budete nevhodně interpretovat a dojdete k mylným závěrům?