Efektivita a bezpečnost sonické technologie kompenzuje zvýšenou náročnost hygieny při ortodontické terapii.
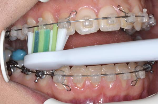
Správné přikládání kartáčku jak k dásním, tak okolo rovnátek je důležité i s moderní pomůckou.


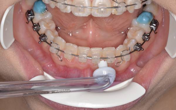
Přístroj Airfloss Ultra je v tomto ohledu univerzální. Mezizubní prostory čistěte z vnější i vnitřní strany.
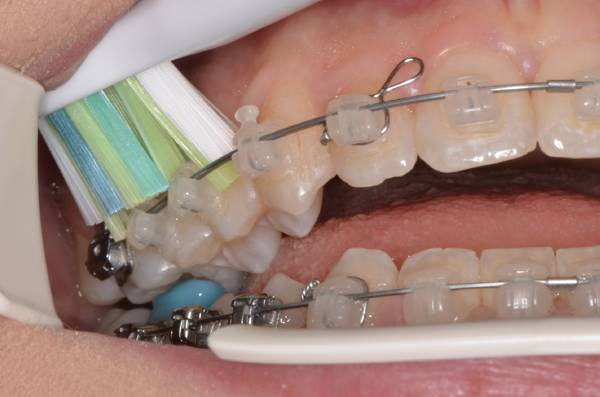
Pro maximální efektivitu je nutné přikládat konce vláken z horní i dolní strany záměčku zvlášť. Ortodontický zámeček nesmí být zaklíněn uprostřed hlavice mezi vlákny. Přední část zámečků doplníme o SOLO techniku. Samotná doba čištění se tím prodlouží.

z orální strany

vestibulární strany
Při čištění rovnátek dochází k zvýšenému opotřebení až roztřepení vláken kartáčku. Častější výměna kartáčkové hlavice jezde nutností. Doporučený interval je zde každý měsíc.






Pro maximální efektivitu je nutné přikládat konce vláken z horní i dolní strany zámečku zvlášť. Ortodontický zámeček nesmí být zaklíněn uprostřed hlavice mezi vlákny. Přední část zámečků doplníme o SÓLO techniku. Samotná doba čištění se tím prodlouží.
Jste odborník v dentální péči a máte zájem se dozvídat o našich produktových novinkách, dostávat pozvánky na webináře a nebo máte zájem o naše produkty? Stačí kliknout na tlačítko Zaregistrovat, vyplnit okno s Vašimi údaji a budeme Vás v brzké době kontaktovat. Pokud jste již zaregistrovaní, kontaktujte svého obchodního zástupce.
You are about to visit a Philips global content page
Continue