Cardiology

Heart failure is complicated, costly and is caused by a variety of underlying conditions, including coronary artery disease, valvular disease, arrythmias, myocarditis, infiltrative disorders (such as amyloidosis), and from chemotherapy.1,2 Heart failure is associated with substantial morbidity and mortality.1,2 Regardless of etiology, robust and reproducible imaging tools are important to diagnose and monitor disease progression in heart failure. See how artificial intelligence (AI) and advanced automation bring this level of reproducibility and robustness, while addressing the need to complete the study and efficiently return results to the referring physician.
Challenge
Heart failure is prevalent worldwide, and accurate assessment of heart function using echocardiography is essential.1,2 Incorporating strain and 3D assessment of the LV and RV has historically been challenging and required specialized skill sets.
Solution Philips IntelliSpace Cardiovascular multimodality image and information management solution offers a complete look at a patient’s cardiac history. The AI-enabled automation of Philips EPIQ CVx cardiovascular ultrasound system and Philips TOMTEC -ARENA quantification tools provides efficiency and reproducibility during echocardiography studies.
Results
Philips solutions allow for advanced quantification and analysis, with access to information anywhere, anytime across the enterprise. AI-enabled, automated tools for visualization, analysis and streamlined reporting offer robust, reproducible results to help make the effective management of heart failure a reality.
$346.17 billion
Estimated current worldwide economic burden of heart failure
Heart failure generates an enormous clinical, social and economic burden, and is likely to increase in the coming years, with an aging population and a greater number of therapies to treat heart failure. This burden especially affects areas of lower socio-demographic regions that lack the healthcare infrastructure to meet the challenge effectively.1 The estimated current worldwide economic burden of heart failure is $346.17 billion.1 Clearly, new answers are needed. Robust and reproducible 2D and 3D echocardiographic data obtained quickly are key to diagnosing and managing heart failure.
Echocardiography is the most commonly utilized imaging test in heart failure.2 It provides immediate information on chamber volumes and function, valve function, diastolic function and hemodynamics.2 Bringing advances in AI and automation to echocardiography provides the robust, reproducible results essential for effective diagnosis and management of heart failure.

Echo is often the first cardiac imaging test that’s performed for patients with suspected heart failure. An echocardiogram gives us a wealth of information on cardiac structure and function using both 2D and 3D tools. Echocardiography can help us understand the etiology of heart failure in many situations. I routinely use information derived from both 2D and 3D analysis and strain to better understand my patients. AutoStrain, Dynamic HeartModel and Auto RV are invaluable tools that are used both in the diagnosis and surveillance of patients with heart failure.”
Dr. Akhil Narang
Cardiology specialist and Echocardiographer, Northwestern Medicine in Chicago, IL
New research suggests that patients hospitalized with COVID-19 could be at risk of developing heart failure, even if they have no prior history of cardiovascular disease or cardiovascular risk factors. A retrospective analysis of electronic medical records of hospitalized patients with confirmed COVID-19 found that eight out of the 37 patients who had developed new heart failure had no prior history of cardiovascular disease or cardiovascular risk factors. The patients tended to be younger and with leaner body mass than typical patients presenting with heart failure.3
Robust and reproducible imaging tools are important to diagnose and monitor disease progression in heart failure. Current guidelines support the use of advanced echocardiography tools such as longitudinal strain and 3D assessment of LV and RV volumes and function.

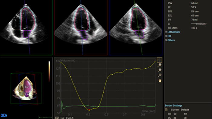
Automation for robust, proven reproducible cardiac quantification in both 2D and 3D.

Quantification through Dynamic HeartModel.
Would you like to know more about a range of solutions on the care journey that can provide for fast, reproducible 2D and 3D cardiac ultrasound, including on-cart and off-cart analysis and easy communication of results for the management of heart failure? We’re excited to share what we’ve learned with you.
Read the complete article to learn more about the effective management of heart failure throughout the entire care journey.
Results from case studies are not predictive of results in other cases. Results in other cases may vary. 1 Lippe G, Sanchis-Gomar F. Global epidemiology and future trends of heart failure. AME Med J. 2020;5:15. DOI: 10.21037/amj.2020.03.03. 2 Ponikowski P, Voors A, Anker S, et al. 2016 ESC Guidelines for the diagnosis and treatment of acute and chronic heart failure: The Task Force for the diagnosis and treatment of acute and chronic heart failure of the European Society of Cardiology (ESC): Developed with the special contribution of the Heart Failure Association (HFA) of the ESC Eur Heart J. 2016;37(27):2129–2200. doi.org/10.1093/eurheartj/ehw128 3 Alvarez-Garcia J, Jaladanki S, Rivas-Lasarte M, et al. New heart failure diagnoses among patients hospitalized for COVID-19. Letter. J Am Coll Cardiol. 2021;77(17):2260–2262.
Share this article
Sign up to receive news and updates from Philips
Challenge
Heart failure is prevalent worldwide, and accurate assessment of heart function using echocardiography is essential.1,2 Incorporating strain and 3D assessment of the LV and RV has historically been challenging and required specialized skill sets.
Solution Philips IntelliSpace Cardiovascular multimodality image and information management solution offers a complete look at a patient’s cardiac history. The AI-enabled automation of Philips EPIQ CVx cardiovascular ultrasound system and Philips TOMTEC -ARENA quantification tools provides efficiency and reproducibility during echocardiography studies.
Results
Philips solutions allow for advanced quantification and analysis, with access to information anywhere, anytime across the enterprise. AI-enabled, automated tools for visualization, analysis and streamlined reporting offer robust, reproducible results to help make the effective management of heart failure a reality.
Share this article
You are about to visit a Philips global content page
ContinueWebová stránka je určena pouze osobám, které jsou odborníky (tj. osobám oprávněným zdravotnické prostředky předepisovat nebo vydávat), nebo zaměstnancům poskytovatele zdravotních služeb.
Jste osobou, která splňuje výše uvedená kritéria? Potvrzujete, že jste seznámeni s rizikem, že pokud budete pokračovat na tyto stránky, aniž jste osobou, která splňuje výše uvedená kritéria, hrozí, že informace tam obsažené budete nevhodně interpretovat a dojdete k mylným závěrům?